Observa las increíbles transformaciones que hemos logrado con nuestros pacientes

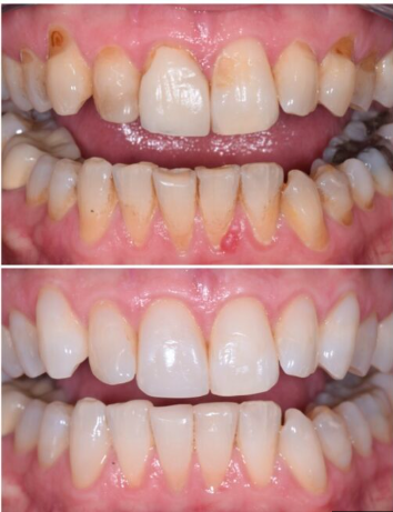
Paciente 1 - Blanqueamiento en consultorio

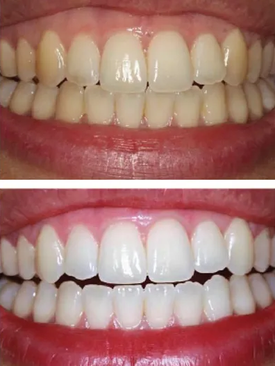
Paciente 2 - Blanqueamiento en consultorio

Paciente 3 - Blanqueamiento en consultorio
Nuestro blanqueamiento dental profesional ofrece ventajas únicas que no encontrarás en productos de venta libre.

Sí, cuando se realiza bajo supervisión profesional del Dr. Ángel Márquez. Utilizamos productos aprobados que no dañan el esmalte dental.
Los resultados pueden durar de 1 a 3 años, dependiendo de tus hábitos alimenticios e higiene bucal.
Puede haber sensibilidad temporal leve. Utilizamos técnicas y productos que minimizan este efecto.