Transforma tu sonrisa y mejora tu salud bucal con nuestros tratamientos de ortodoncia de vanguardia. Desde brackets tradicionales hasta Invisalign, tenemos la solución ideal para ti.

Ofrecemos una variedad de soluciones ortodóncicas que se adaptan a tu estilo de vida, presupuesto y necesidades dentales.

El tipo de brackets más común y efectivo, fabricado con acero inoxidable de alta calidad. Los brackets modernos son más pequeños, cómodos y atractivos que nunca.
Pacientes de todas las edades, especialmente para corregir problemas significativos de alineación.

Funcionan igual que los brackets metálicos, pero están hechos de un material cerámico transparente. Ofrecen una alternativa menos visible para pacientes preocupados por la estética.
Adolescentes mayores y adultos que desean una opción de tratamiento más discreta.

Una serie de alineadores de plástico transparente hechos a medida que son virtualmente invisibles. Son removibles, permitiéndote comer, beber, cepillarte y usar hilo dental normalmente.
Adultos y adolescentes con problemas leves a moderados de apiñamiento o espaciado.
El tratamiento de ortodoncia ofrece numerosos beneficios más allá de la estética, mejorando tu salud general y calidad de vida.
Una sonrisa recta y hermosa aumenta significativamente la autoconfianza y las interacciones sociales.
Los dientes rectos son más fáciles de limpiar, reduciendo el riesgo de caries, enfermedad de las encías y mal aliento.
Corregir problemas de mordida mejora la masticación, el habla y reduce el desgaste anormal del esmalte dental.
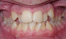
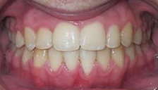
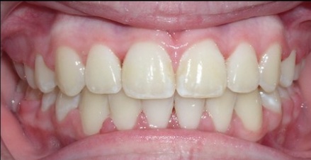
Ve las transformaciones que hemos logrado para nuestros pacientes.

Before

After

Before

After
Tu viaje hacia una sonrisa más saludable y confiada comienza aquí. Agenda tu consulta gratuita y sin compromiso hoy.